2026.2.20| 矯正相談集
「歯並びのガタガタが気になる…」とご相談いただいたS.Nさん(10歳・女の子)のケース
「歯がガタガタしてきた気がする」…
10歳前後は、乳歯と永久歯が混在しながら生え変わりが一気に進む時期で、歯並びや噛み合わせの変化が大きく出やすいタイミングです。
今回は、複数の医院で相談経験があり、「今始めるべきか、もう少し待つべきか」を迷われて来院された 10歳の女の子 との初診相談時のやり取りをご紹介します。当院に通院中のお友達のご紹介で来院されました。
当院では、ただ歯を並べるだけでなく、生え変わり・噛み合わせ・将来の治療段階まで含めて長期的に考えた治療方針をご説明しました。
患者様情報
| 年齢 | 10歳 |
| 性別 | 女性 |
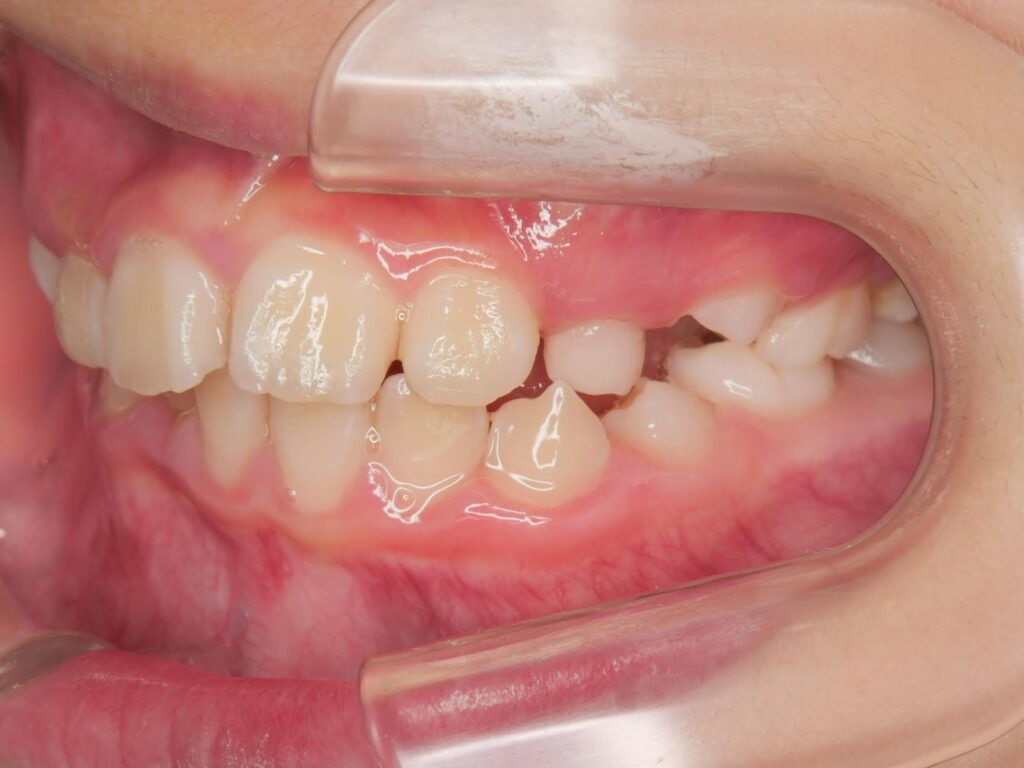
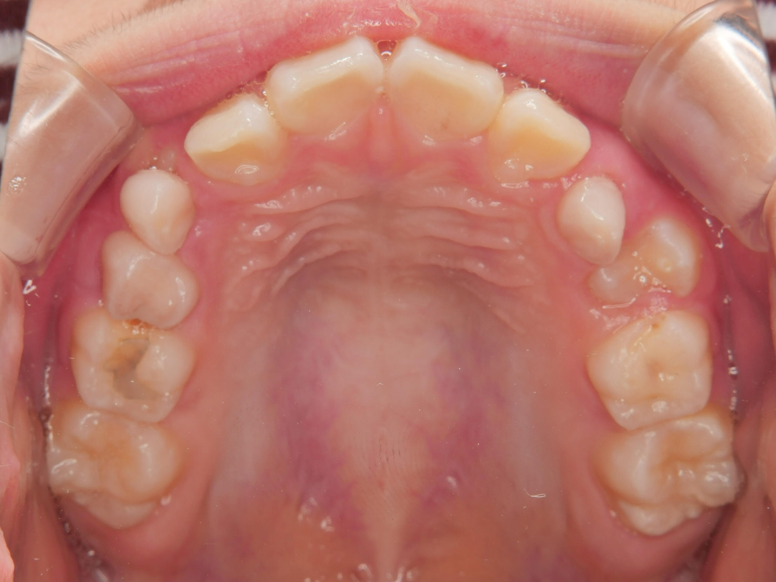
初診時の画像診断



上下の歯並びにガタガタがあります。
左の前から3番目の歯の噛み合わせが上下反対に噛んでいます。
その影響で上下の前歯の真ん中のラインが右にずれています。
ご相談のきっかけ
S.Nさんは、矯正治療について 2件ほど歯科医院にご相談されたとのことでした。
お母様としては、相談に行かれた歯科医院によって、矯正治療で使う装置や開始時期について異なるお話もあり、治療を開始するタイミングを悩まれていました。
患者様との実際のやり取り
はじめまして。今日は来ていただきありがとうございます。
気になるところを教えていただけますか?
歯並びのガタガタが気になっています。
何件か相談したんですが、使う装置や矯正治療の開始時期で迷っています。
今の段階で、問題はありますか?
今、ちょうど生え変わりが進む時期ですね。
抜けそうな歯や、生えたての永久歯もいくつかあります。
今の歯並びの問題点としては、大きく分けると3つです。
1つ目は、上下ともに少しガタガタがあること。
2つ目は、噛んだ時に上下の前歯の真ん中のラインが少しズレていること。
3つ目は、左側の一部だけ上下が逆に噛んでいる(交叉咬合)ところがあることです。
左側の反対に噛んでいる歯は治るんですか?
ここはタイミングを逃さなければ比較的簡単に治せます。
今は乳歯なので、もうすぐ生え変わる永久歯の方向をうまく誘導できれば、交叉咬合は改善できます。交叉咬合が改善できれば、真ん中のラインも今より改善する可能性が高いです。
ガタガタはどうですか?
ガタガタの量は大きいタイプではないので、歯並びを拡大してスペースを広げれば、綺麗な歯並びが達成できると思います。
今の年齢は上顎骨に矯正の力を加えると、顎の骨を広げることができる時期です。顎の骨を広げるとガタガタの歯並びを整えるスペースを獲得できます。これは大人にはできない小児矯正のメリットです。
歯を抜く可能性はありますか?
結論から言うと、このガタガタの量なら、抜歯の可能性はほぼゼロと思っていただいて大丈夫です。
小児矯正で拡大を行わなかった場合は、大人の矯正治療でガタガタの改善のために、ごくわずかな削合(0.2mm程度、IPR)を永久歯に行う可能性があります。
装置は、ワイヤーとマウスピース、どっちになるんですか?
どちらも可能です。
ワイヤーは、広げる装置→並べる装置、という役割分担で進むことが多いです。
マウスピースは、広げる+並べるを同時に進められることもあるので、治療期間は短くできます。
他院では今始めなくても、もう少し大きくなってからでもと言われて迷っていて…
そこはすごく重要なポイントです!
なぜかというと、S.Nさんはガタガタが重度ではないので、二期(大人の矯正)からでも十分に取り返せる要素があります。
一方で、一期治療を進めるメリットは、少しでも永久歯の削合などの負担を減らせる、早めに前歯の見た目を整えて安心できる、生え変わりを良い方向に誘導できる。
といったところです。
ただ、今10歳なので、一期治療を始める時期としては終盤に入ってきています。
あと1〜2年後では生え変わりが終盤に入り、二期矯正(大人の矯正)の時期となっていきます。
もしよろしければ、診断の時にシュミレーションでどこまで治るかもお見せできます。
わかりました。検査の予約をお願いします。
まとめ
S.N.さんのケースでは、
・「上下の軽度なガタガタ(叢生)」と「左側の一部の反対咬合(交叉咬合)」に対して、成長期のうちに歯列の幅を整えながら、噛み合わせのズレを早めに修正していく小児矯正(一期治療)が有効であること
・将来的な生え変わりや顎の成長を見据え、必要以上に歯を削ったり抜いたりせず、永久歯が正しく並ぶ“土台づくり”を優先して治療計画を立てることが重要であること
という相談結果になりました。
今回の診察では、見た目としての「ガタガタ」だけでなく、左側の噛み合わせが部分的に逆になっている点、噛んだ時に正中(真ん中)がずれやすい点、そして今後の生え変わりによって歯列が変化する可能性まで含めて、総合的な評価を行いました。
そのうえで、現時点のガタガタの量は重度ではなく、抜歯が必要になるリスクは極めて低いこと、スペース確保は拡大やごくわずかな調整で十分対応できる可能性が高いことを丁寧にご説明しました。
小児矯正では、単に前歯をきれいに並べるだけでなく、顎の成長を利用して歯列の幅を整え、永久歯が生えそろったときに噛み合わせが安定しやすい状態を作ることが重要です。
特にS.N.さんのように、交叉咬合が一部に出ているケースでは、成長期のうちに方向を整えておくことで、将来的な噛み合わせのズレを大きくしない効果が期待できます。
また、一期治療で前歯の見た目は十分改善できる一方、奥歯まで“完璧にバチッと”仕上げる必要がある場合は、永久歯が生えそろう中学生以降に二期治療を検討する流れになります。
その時点での生活状況やご本人の希望も踏まえながら、無理のないゴール設定を一緒に考えていくことが大切です。
お子様の「ガタガタ」や「噛み合わせのズレ」が気になる方は、ぜひ一度ご相談ください。
成長段階に合わせた最適な治療方法を、無理なく一緒に考えていきましょう。
この記事の監修者情報
吉田 尚起
日本矯正歯科学会認定医
院長である吉田なおきは、国立大阪大学歯学部、および同大学院にて矯正治療を専門に学び、博士号を取得。大学病院にて7年間にわたり研鑽を積み、300症例以上の矯正治療に携わってきました。
自身も歯並びのコンプレックスを克服した経験から、見た目の美しさだけでなく、噛み合わせや心身の健康を考えた治療を心がけています。
歯科医師全体の約3%しか取得していない日本矯正歯科学会認定医として、お子様から大人の方まで、未来の笑顔をサポートします。
