2025.12.13| 矯正相談集
「歯並びのガタガタが気になって…」とご相談いただいた8歳・女の子のケース
「歯並びのガタガタが気になって…」「将来、歯の生えるスペースが足りないと言われて…」
お子様の歯並びや将来の矯正方法について、どこまでやるべきか悩まれている親御様は少なくありません。
今回は、他院でも矯正の相談経験があり、「ヘッドギア」や「顎の拡大」「マウスピース矯正(インビザライン)」といった説明を受けたものの、方法や痛みへの不安から迷われていた8歳の女の子との初診相談時のやり取りをご紹介します。
当院では、歯並びだけでなく「顎の成長」や「将来の抜歯リスク」まで見据えた、小児矯正の治療方針についてお話ししました。
患者様情報
| 年齢 | 8歳 |
| 性別 | 女性 |
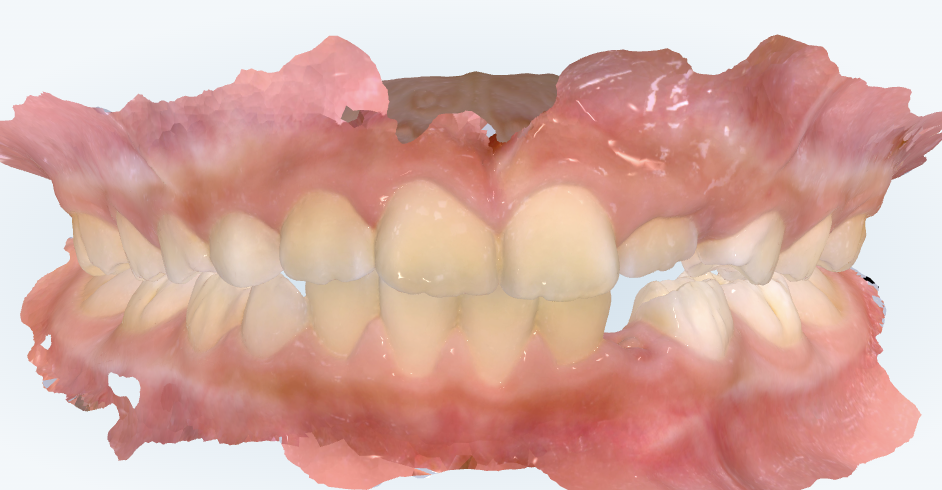
初診時の画像診断



左上の前から3番目の歯(犬歯)が生えるスペースがありません。
奥歯が出っ歯の噛み合わせをしています。
上の前歯の真ん中のラインが左にずれています。
ご相談のきっかけ
他県からのご転勤後、現在のかかりつけ歯科で、
- 埋まっている歯が並ぶスペースが足りない
- 奥歯を後ろに下げて、その後に顎の拡大かマウスピース矯正(インビザライン)で並べていく
といった説明を受けていました。
他にも方法はあるのか?といった点に疑問が残り、別の矯正専門医院の話も聞いてみたいということで、当院にご相談に来られました。
患者様との実際のやり取り
今日は、一番気になっているところはどこですか?
全体的に歯が並ぶスペースが足りなくてガタガタになりそうなことと、前の医院で『奥歯が前に出ていて出っ歯傾向がある』と言われました。ヘッドギアと拡大やマウスピースって本当に必要なのか、痛みも心配で…。
レントゲンとお口の中を拝見すると、
上の奥歯が本来の位置より歯1本分くらい前にある“出っ歯傾向”があります。
前歯が少し内側に並ぶことで、見た目としての出っ歯は軽度です。
これから生えてくる大人の歯が、今より一回り大きいことを考慮すると、
何もしなければ、将来的に抜歯が必要になる可能性がかなり高いタイプと言えます。
今、8歳で矯正を始める意味はありますか?
上あごは10歳前後で成長が止まることが多いため、上あごの前への成長を抑えるヘッドギアという装置の利用や、横幅を広げて歯が並ぶスペースをつくるといった“骨の成長を利用した治療”ができるのは、今〜10歳くらいまでの限られた時期です。
この時期にうまくコントロールできれば、将来、抜歯を避けられる可能性が高まります。
なるほど。ヘッドギアとマウスピース、どんなイメージで進めることになりますか?
その場合、次のような流れが現実的だと考えています。
ヘッドギアで奥歯の位置と上あごの成長をコントロールします。主に夜間に使用していただき、上顎の出っ歯傾向を抑えつつ、奥歯を少し後ろへ下げてスペースを作ります。
そのうえで、マウスピース矯正で歯列の横幅を広げながら、前歯のガタガタを少しずつ整えていくという2段階のイメージです。
痛みはありますか?痛みに弱い子なので、それが一番心配です…。
ヘッドギアに関しては、“強く痛い”と感じることはほとんどありません。
最初は違和感はありますが、夜間だけの使用なので日中の生活への影響は少ないと思います。
マウスピースも、最初の数日は軽い締め付け感が出ることがありますが、矯正全体の中では比較的マイルドな部類です。
そうなんですね。どのくらいの期間、治療が続きますか?
小児矯正のゴールは、永久歯の生え変わりがほぼ終わる12歳前後です。
今から10歳頃までは、ヘッドギアを中心に奥歯の位置と上顎の成長コントロールしていきます。その後10〜12歳頃までは、マウスピース矯正で拡大と前歯の配列を進める
というイメージで、トータルで約2-3年かけて土台づくりをしていきます。
その時点で、噛み合わせも見た目も十分であれば小児矯正で終了しますし、
さらにきれいに整えたいという場合は、成人矯正(第2段階)で微調整や仕上げを追加といった選択になります。
わかりました、ありがとうございます。家族に一度相談してから予約をとります。
まとめ
こちらの患者様のケースでは、
・「上あご奥歯の前方位に伴う出っ歯傾向」と「将来的なスペース不足(ガタガタ)」に対して、成長期にヘッドギアで上顎の成長をコントロールしつつ奥歯を後方へ移動させること
・そのうえでマウスピース型矯正装置を用いて歯列を拡大し、前歯部の叢生(ガタガタ)を無理なく改善していくこと
が有効である、という相談結果になりました。
今回の診察では、見た目としての「前歯のガタガタ」や「出っ歯傾向」に対するお悩みだけでなく、
上顎の成長が止まる前(10歳頃まで)にヘッドギアで骨格的な出っ歯傾向をコントロールする必要性や、将来的に抜歯が必要になるリスクをできるだけ減らすためのスペースづくり、マウスピース矯正を組み合わせた場合の装着時間・通院頻度・生活への影響についても、長期的な成長予測とあわせてご説明を行いました。
小児矯正では、単に今のガタガタを整えるだけでなく、顎の成長を味方につけて、将来的なかみ合わせや抜歯の可能性まで含めた「土台づくり」を行うことが重要です。
特にこちらの患者様のように、骨格の成長ポテンシャルがまだ十分にあり、ヘッドギアとマウスピース矯正を組み合わせることで非抜歯での改善が期待できるケースでは、成長期に合わせた適切なタイミングで治療を始めることで、無理なく将来の仕上がりの選択肢を広げていくことが可能です。
お子さまの「出っ歯が心配」「歯が大きくて並ぶか不安」「ワイヤーは大変そう」などのお悩みがあれば、ぜひ一度ご相談ください。
ご家庭の事情やお子さまの性格・生活スタイルも踏まえながら、ご家族にとって無理のない最適な治療法を一緒に考えていきましょう。
この記事の監修者情報
吉田 尚起
日本矯正歯科学会認定医
院長である吉田なおきは、国立大阪大学歯学部、および同大学院にて矯正治療を専門に学び、博士号を取得。大学病院にて7年間にわたり研鑽を積み、300症例以上の矯正治療に携わってきました。
自身も歯並びのコンプレックスを克服した経験から、見た目の美しさだけでなく、噛み合わせや心身の健康を考えた治療を心がけています。
歯科医師全体の約3%しか取得していない日本矯正歯科学会認定医として、お子様から大人の方まで、未来の笑顔をサポートします。
