2026.1.28| 矯正相談集
「ガタガタと、左右の噛み合わせのズレが気になって…」とご相談いただいたK.Yさん(8歳・女の子)のケース
「前歯が少し段差になっている」「下の歯がガタガタしてきた」「左右で噛み合わせが違う気がする」…
歯並びの“ガタガタ”だけでなく、噛み合わせの左右差に気づいて不安になる親御様も少なくありません。
今回は、インターネットをきっかけに当院を見つけてくださり、「ガタガタが気になる」と来院された8歳の女の子、K.Yさんとの初診相談時のやり取りをご紹介します。ただ歯を並べるだけではなく、噛み合わせの左右差(下顎の偏位)や、顎の成長の方向まで含めて長期的に考えた当院の治療方針についてもお伝えします。
患者様情報
| 年齢 | 8歳 |
| 性別 | 女性 |
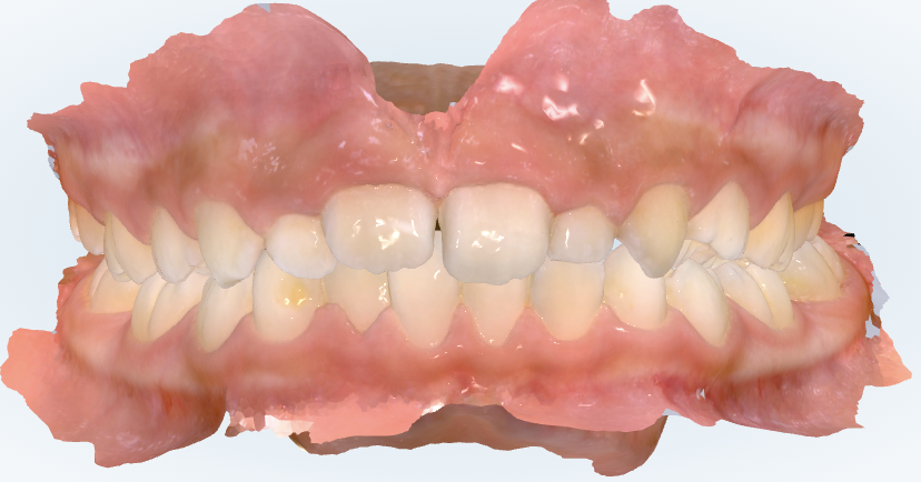
初診時の画像診断



永久歯への生え替わりが遅いです。
下あごの噛み合わせが左にずれて噛むことが習慣化しています。
ご相談のきっかけ
K.Yさんは、これまで一般歯科で「予防矯正(トレーニング+装置)」の説明を受けたことがあり、日中に装置をつけてトレーニングをするような方法を聞いていたとのことでした。
ただ、お母様としては、
「ガタガタが気になるけど、今どこまで必要なのか分からない」
「装置の種類も多くて、何が合うのか整理したい」
という思いがあり、矯正専門医院で専門的な視点で一度診てほしいと当院へご相談くださいました。
患者様との実際のやり取り
今日は来てくださってありがとうございます。今、一番気になっているのはガタガタですか?
はい。前歯の段差とか、下のガタガタが気になっています。
スキャンで見ると、確かに上も下もガタガタがあります。ただ、ガタガタが重度というわけではありません。
一方で、奥歯の噛み合わせを左右で見ると、右と左でズレ方が違うのが気になります。
右側はそこまで悪くないんですが、反対側を見るとズレが少し大きいです。
これは歯だけの問題というより、下顎が少し左右にずれて噛んでいるつまり顎が偏位している可能性が高いです。
顔の歪みみたいなものになりますか?
現時点では実際の顔の見た目として大きく歪んでいるほどではないと思います。
ただ、ずれた位置で噛み続けると、成長とともに左右差が強くなることもあるので、早めに介入して悪化を防ぐこともできます。
あと、噛み合わせが少し深めです。極端に深くて歯ぐきを傷つけているような状況ではないですが、成長を利用してこれ以上深くならないようにコントロールするのは大事なポイントです。
なるほど。今後どんな治療になりますか?
もし治療するなら、主にこの3点を目標にします。
まず、ガタガタを改善するためにスペースを作ります。そして2つ目は下顎の偏位、左右のズレをこれ以上悪化させないようにします。それから、深めの噛み合わせを成長の中で整えていくという流れになります。
わかりました。装置はどんなものを使いますか?今はマウスピースの矯正が多いんですか?
最近はマウスピース矯正が増えています。K.Yさんの歯並びなら、ワイヤーでもマウスピースでも治療可能です。
ただ、顎の偏位や拡大をどう進めるかで、途中に使う装置が変わることもあります。
顎のズレとガタガタは同時に治せるんですか?
装置によります。
マウスピースは一度にいろいろ同時進行しやすい一方で、それぞれの効果が大きくでないケースもあります。
ワイヤーは役割ごとに装置を組み合わせることが多いです。
いますぐ行うべきですか?
K.Yさんの場合、ガタガタもありますが、現時点で今すぐ大きく悪化することはありません。ただ、噛み合わせの左右差のズレは、成長で大きくなることもあるので、放置はしたくないというのが正直なところです。
じゃあ、どう進めるのがいいですか?
今回おすすめの方法は、定期的にあごのズレをチェックしながら生え替わりが進んだら矯正治療を開始する進め方です。
例えば、まずは 3ヶ月に1回くらい、噛み合わせとズレの程度を見させてください。
もし3ヶ月後に見てズレが進んでいたり、生え替わりが進んでいれば、そのタイミングで噛む位置を整える装置や拡大の装置を入れる提案をします。
逆にズレが落ち着いていて、生え変わりのタイミングを少し待った方が良いとなれば、もう少し様子を見ながら準備していく、という判断もできます。
そうですか、よくわかりました。まずはその形で、様子を見ながら進めたいです。
まとめ
K.Y.さん(8歳・女の子)のケースでは、
・「前歯のガタつき」や「歯が並ぶスペース不足」に対して、成長期を活かした小児矯正が有効であること
・顎のズレがあるため、今の時期から顎の成長と噛み合わせをコントロールしていくことが重要であること
という相談結果になりました。
今回の相談では、見た目として気になっている「前歯のガタガタ」だけでなく、
・上下の噛み合わせのバランス
・顎の成長の左右差
・今後永久歯が生えてくるスペースの確保
といった点について、将来的な歯並びの安定性を見据えた多角的なご説明を行いました。
小児矯正では、今すぐ歯をきれいに並べることだけが目的ではありません。
成長期だからこそできる「顎の成長誘導」や「噛み合わせの軌道修正」を行うことで、将来の本格矯正をよりスムーズに、負担の少ない形で進めることが可能になります。
特にK.Y.さんのように、骨格や噛み合わせに大きな問題はないものの、今後の成長次第で歯並びが悪化する可能性があるケースでは、定期的なチェックを行いながら、最適なタイミングで治療を開始することが非常に重要です。
お子様の歯並びや噛み合わせについて少しでも気になることがあれば、ぜひ一度ご相談ください。
成長に合わせた、無理のない矯正プランを一緒に考えていきましょう。
この記事の監修者情報
吉田 尚起
日本矯正歯科学会認定医
院長である吉田なおきは、国立大阪大学歯学部、および同大学院にて矯正治療を専門に学び、博士号を取得。大学病院にて7年間にわたり研鑽を積み、300症例以上の矯正治療に携わってきました。
自身も歯並びのコンプレックスを克服した経験から、見た目の美しさだけでなく、噛み合わせや心身の健康を考えた治療を心がけています。
歯科医師全体の約3%しか取得していない日本矯正歯科学会認定医として、お子様から大人の方まで、未来の笑顔をサポートします。
